山东001在线

 找回密码
 立即注册
搜索
查看: 5392|回复: 0

行车安全要注意:一位39岁男性患者车祸,致左小腿粉碎性骨折

[复制链接]

该用户从未签到

发表于 2023-2-3 23:20:38 | 显示全部楼层 |阅读模式
作者:名医在线网
(声明:本文仅用于科普用途,为了保护患者隐私,以下内容里的相关信息已进行处理)
【基本信息】男,39
【疾病类型】左侧胫腓骨粉碎性骨折
【治疗医院】安徽医科大学附属巢湖医院 (三甲)
【治疗方案】左胫腓骨骨折切开复位内固定术+阿司匹林抗炎抗血小板聚集+地奥司明消肿+抬高患肢
【治疗周期】手术三小时,随访一年
【治疗效果】出院时切口愈合可,左足趾血供可,感觉无异常,后续复诊时已痊愈
一、初识患者

患者39岁,外出送货时不慎发生车祸,出事后立刻感觉左小腿下段疼痛明显且迅速变肿,左足活动受限,遂拨打120,急诊送入我院。
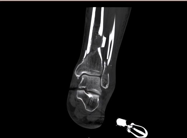
接诊后,我安排患者急查左侧胫腓骨正侧位X片,提示左胫腓骨下段骨折,移位明显,骨块超过2块,上段可见陈旧性骨折。患者病程中无昏迷,无头痛、恶心、呕吐,无呼吸困难,查体肢端暖,左小腿下段肿胀畸形明显,有压痛,踝关节活动明显受限,左足感觉稍麻木。结合患者症状、查体结果和X线表现,确诊患者为左胫腓骨粉碎性骨折。
二、治疗经过

粉碎性骨折只有手术才能恢复患处功能,与患者沟通后,患者同意手术,为避免肌肉继续牵动骨块造成更大的软组织损伤,甚至刺破血管导致出血,急查患者凝血功能及传染病筛查等术前常规,确认无手术禁忌后,急诊手术,腰硬联合麻醉下予以患者左胫腓骨骨折切开复位内固定术。

行车安全要注意:一位39岁男性患者车祸,致左小腿粉碎性骨折-1.jpg

目前患者骨块位置较清晰,但血管位置不甚明确,也可能存在肿胀组织或骨块压迫已破裂动静脉的情况,为避免切开后患者大出血,切开前于左小腿上段扎气囊加压止血带。患者胫腓骨均有骨折,因此需要分开行复位内固定术。术中见骨折呈粉碎型,断端移位明显,清理复位后行内固定,术毕后透视确认位置满意。患者安返病房,术中出血少,取气囊加压止血带,予以加强换药,外用支具保护患处于功能位助愈。嘱患者保护患肢,如术后患处及附近有感觉麻木等不适,及时告知医生。
患者青壮年,且术中出血少,入院常规血象不高,因此不予预防性抗感染,予以阿司匹林抗炎抗血小板聚集+地奥司明消肿+抬高患肢,必要时行对症处理,随患者恢复阶段,指导其康复训练。

行车安全要注意:一位39岁男性患者车祸,致左小腿粉碎性骨折-2.jpg

三、患者在治疗中的注意事项

1、补充营养,高钙高蛋白饮食,少食辛辣刺激性食物。
2、可下床后,可耐受的情况下,尽量自行完成日常活动,如坐便、取物等。
3、学习拄拐行走,保护患肢,睡觉时注意不可压住患处,也不可压迫左小腿上段,影响血供。
4、遵医嘱行康复训练,积极沟通,解除怕痛、恐惧等不利于恢复的不良想法。
四、患者的治疗效果

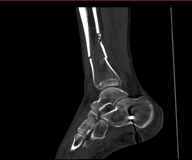
患者共住院治疗23天,出院时术口恢复可,已拆线,支具佩戴中,拄拐行走,肢端血供可,左踝活动可,感觉无明显异常,复查左胫腓骨X片,提示骨折对位对线可,内固定装置正常。患者要求出院,遂予以出院,嘱其日常活动不要用患肢负重,一月后专家门诊复查。后续数次复诊,患者逐渐痊愈。

行车安全要注意:一位39岁男性患者车祸,致左小腿粉碎性骨折-3.jpg

五、患者在日常生活中的注意事项

1、注意患处保暖,避免寒冷刺激下血供受影响,恢复变慢。睡前可用热水泡脚促进血液循环。
2、术后半年每月复诊确保内固定装置和骨折恢复情况。
3、骨折恢复是个长期过程,患者不要操之过急,更不能自行尝试用患肢行走,丢拐第一次行走一定要在医生门诊处进行。

行车安全要注意:一位39岁男性患者车祸,致左小腿粉碎性骨折-4.jpg

六、医生感悟

从本例患者看,粉碎性骨折在处理上和一般骨折似乎差别不大,但之所以单独列出粉碎性骨折是有理由的。和一般骨折不同,粉碎性骨折有较高可能出现骨块刺破大血管导致严重休克的情况。而骨块的移动,一方面是因为外力作用,另一方面是因为自身肌肉的收缩,因此在剧烈外部暴力后,不应使劲去按压,避免推动尖锐骨刺。当然,普通类型的骨折也存在这种风险,但因为其完整性尚有,断端移位一般不会太严重。
治疗上,如上文所说,手术基本是唯一选择,除非患者不能耐受手术,这进一步证明了拥有一个健康身体的重要性。关于预后,左胫腓骨粉碎性骨折一经治愈大多没有后遗症,本例患者便在此范围,后续复诊恢复得不错,但也有严重的患者,即使经过妥善治疗,也会留下关节功能障碍,这一般见于骨折范围过大,术后骨折不愈合等情况,最严重的便是骨不连,导致失去行走功能。
像本例这样的青壮年患者,车祸和高坠是常见的引发粉碎性骨折的原因。医生在治病救人时,更希望普罗大众能爱惜身体,少进医院。
姓名:代儒
单位:安徽医科大学附属巢湖医院
科室:骨科
职称:主治医师

原文地址:https://m.toutiao.com/i7194273776710795788/
您需要登录后才可以回帖 登录 | 立即注册

本版积分规则

QQ|手机版|小黑屋|Archiver|山东001在线 ( ICP11027147 )

GMT+8, 2026-4-18 23:34 , Processed in 0.046804 second(s), 22 queries , Gzip On.

Powered by Discuz! X3.4

© 2001-2023 Discuz! Team.

快速回复 返回顶部 返回列表